Call us:
613-733-8888
|
Email us:
info@mcallisterdentistry.ca
|
Address:
2016 Ogilvie Rd Unit 3 Ottawa, ON
Our Team
Why Choose Us
Services
General Family Dentistry
Oral Hygiene
Cosmetic Dentistry
Whitening
Invisalign
Restorative Dentistry
Dental Implants
Root Canal Therapy
Mouth Guards
Snoring and Sleep Apnea
Dentures
Sedation
Blog
Media
Contact
Book Now
Our Team
Why Choose Us
Services
General Family Dentistry
Oral Hygiene
Cosmetic Dentistry
Whitening
Invisalign
Restorative Dentistry
Dental Implants
Root Canal Therapy
Mouth Guards
Snoring and Sleep Apnea
Dentures
Sedation
Blog
Media
Contact
Book Now
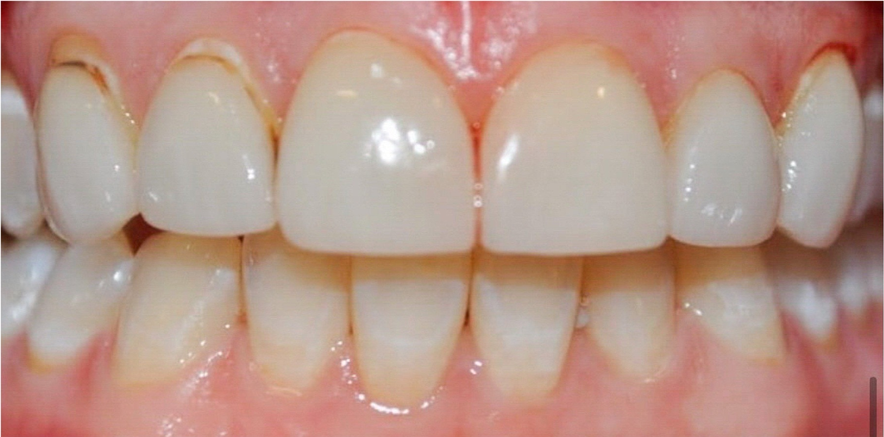
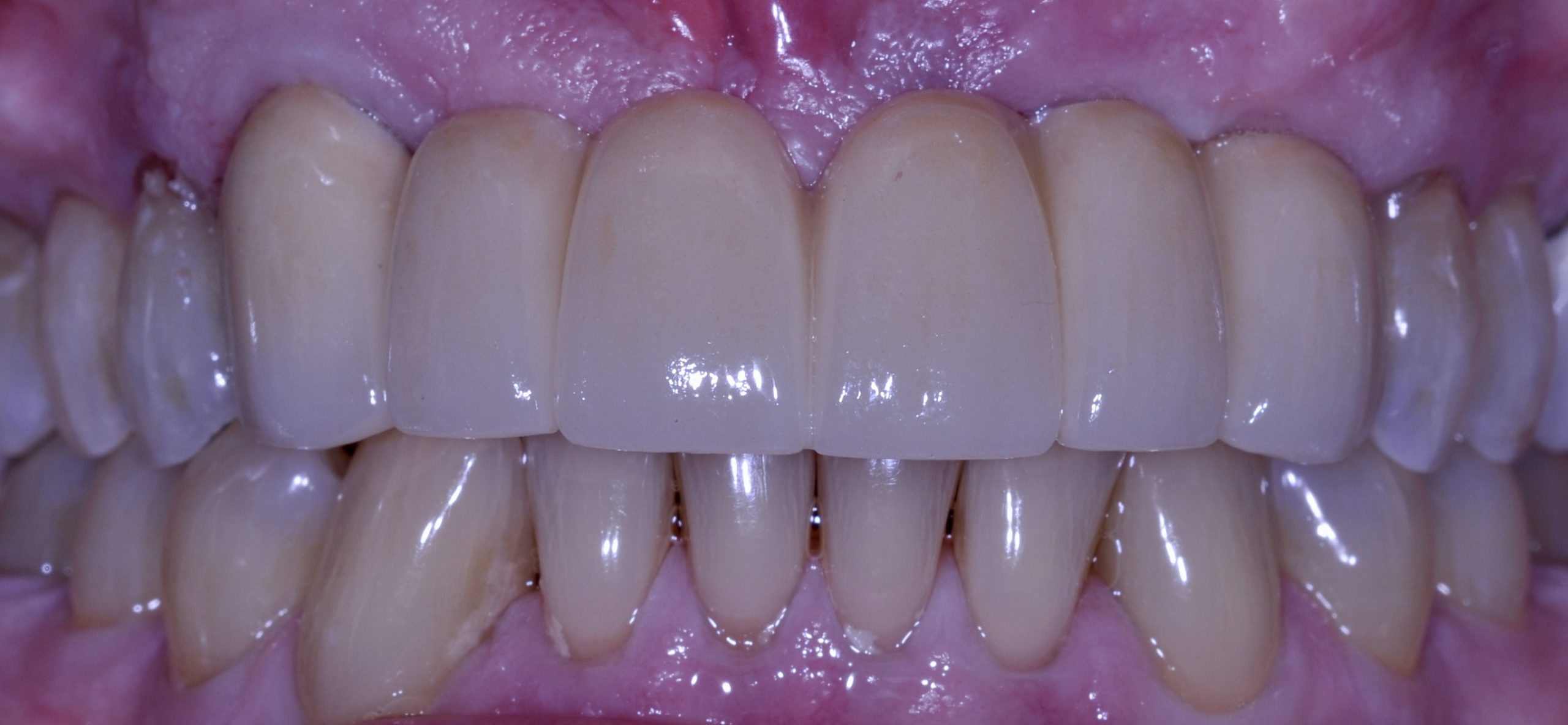
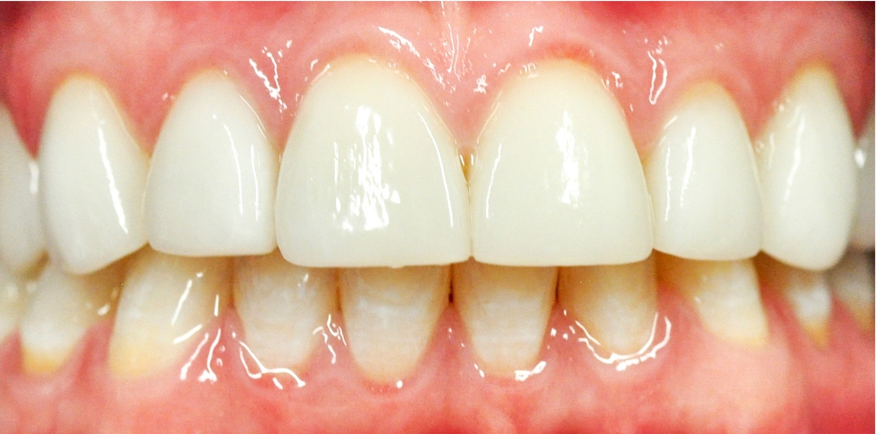
Smile Makeovers by McAllister Dentistry
Before & After
Use the slider to see before and after treatment photos.
BEFORE
AFTER
BOOK AN APPOINTMENT
BOOK AN APPOINTMENT
Visiting Mcallister Dentistry
VISITING MCALLISTER DENTISTRY
BEFORE
AFTER
BOOK AN APPOINTMENT
BOOK AN APPOINTMENT
Visiting Mcallister Dentistry
VISITING MCALLISTER DENTISTRY
BEFORE
AFTER
BOOK AN APPOINTMENT
BOOK AN APPOINTMENT
Visiting Mcallister Dentistry
VISITING MCALLISTER DENTISTRY
BEFORE
AFTER
BOOK AN APPOINTMENT
BOOK AN APPOINTMENT
Visiting Mcallister Dentistry
VISITING MCALLISTER DENTISTRY
Translate »